Wednesday, June 29, 2016
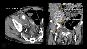
Large external iliac artery pseudoaneurysm : vascular complication of renal transplantation
contd...
No comments:
Post a Comment
‹
›
Home
View web version
No comments:
Post a Comment